Global Guideline for the Diagnosis and Management of the Endemic Mycoses

 05/08/2021


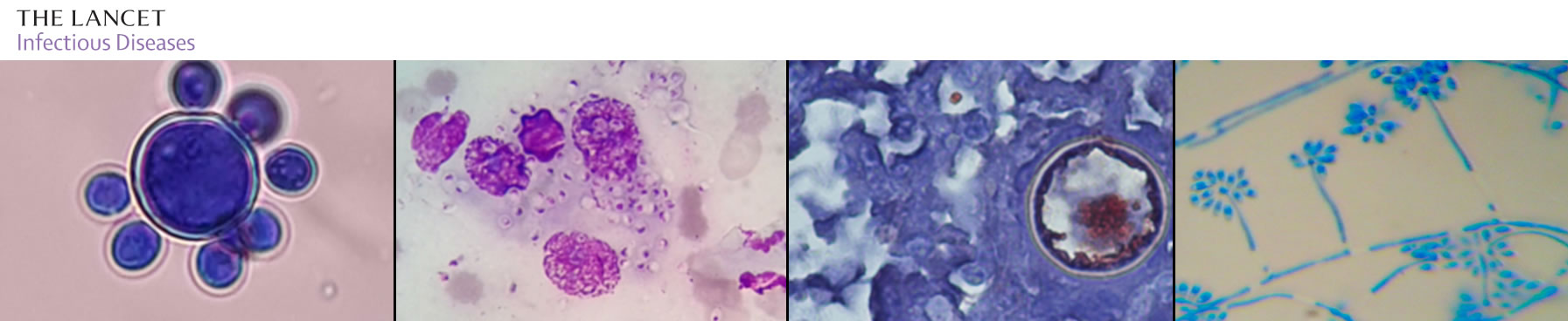
Global guideline for the diagnosis and management of the endemic mycoses: an initiative of the European Confederation of Medical Mycology in cooperation with the International Society for Human and Animal Mycology.




The main proposals of the INFOCU-LATAM are

  • To connect graduate students and health care workers interested in contributing to the development of local educational programs and guidelines for improving the early diagnosis and best clinical management of patients with fungal infections in our region
  • To promote and facilitate the conduction of collaborative multicenter studies delineated to understand the epidemiology of fungal infections in LATAM
  • To encourage advocacy initiatives necessary to convince health policy makers and hospital managers to provide better support to medical assistance to patients suffering from opportunistic and endemic fungal infections in our region

Contact

Social Media